公司新闻/正文
1708 人阅读发布时间:2021-03-11 12:00

GeneTex深知值得信赖的抗体是加速实验进行与实验具有再现性必须的工具,因此GeneTex使用各种验证方式来确认我们的抗体品质, 解决批次再现性与专一性问题,并依据2016年Nature Methods上发表的抗体特异性验证指南,将此五大策略纳入生产验证流程……
2016 年 Nature 子刊建议的 5 种抗体验证方式,即是挑选抗体的金标准。
五大验证包含基因敲除敲弱验证、比较抗体验证、免疫捕获与质谱分析、生物特性与正交策略、蛋白过表达策略等验证方式,说明如下:
一、基因敲除敲弱验证 
利用CRISPR/Cas9或RNAi等技术,将目标基因敲除或敲弱以验证抗体对蛋白质表现量变化的信号反馈。

敲除(Knockout)使用 CRISPR/Cas9 将目标基因从整个基因组去除,使目标蛋白不表达,收取此 Knockout 细胞裂解液作为对照组,可确认抗体专一性。

敲弱(Knockdown)使用 siRNA 将目标基因静默,基因还在,但蛋白表达量降低甚至不表达。收取此 Knockdown 细胞裂解液作为对照组,可确认抗体专一性。
基因敲除敲弱验证就是取有表达蛋白的细胞裂解液,跟使用基因技术去除或减少蛋白的裂解液做比较,如果抗体专一性辨识蛋白,应该会出现一个样本有强条带,另一个样本弱(无)条带,如抗体无专一性则条带无变化。
范例: 白血病标记物-CD44癌症抗体 (GTX628895)
CD44参与介导细胞存活的迁移、增殖、分化和信号传导途径。GTX628895抗体是小鼠单克隆抗体,使用基因敲除的细胞裂解液进行验证,可看到处理后条带消失,证实抗体特异性辨识 CD44 蛋白,适用多种应用,包括 WB、IHC-P、FACS 和 IP,且被多篇文献引用,为可靠的抗体工具。

CD44 antibody [GT462] (GTX628895)

二、比较抗体验证 
使用两种可识别目标蛋白表面不同抗原表位的独立抗体,并通过对比或定量分析确定特异性。相同靶标、相同处理的样品,理论上抗体辨识的条带位置应该相同。如不相同,可能有其一抗体辨识错误蛋白或是其他原因;另外也可以通过比较找到更高敏的抗体。
范例: 乳癌标记物-人表皮生长因子受体-2(HER2,也称 Neu 或 ERBB2)GTX100509
临床上 Her2 的检测多采用免疫组织化学法检测其表达水平,也是决定能否使用靶标治疗的依据之一。GTX100509 HER2/ERBB2 抗体使用两个不同的抗体进行比较(如下),确认有一致性的染色图谱,而 GTX100509(左)灵敏度甚至比其他厂家来的更高。

Her2 / ErbB2 antibody (GTX100509)

三、免疫捕获及质谱分析 
利用IP/MS分析可直接捕获与抗体直接发生相互作用的目标蛋白以及其所形成的蛋白质复合物,将免疫捕获的目标蛋白进行质谱分析,可确认捕获的蛋白身份是否为目标蛋白,以此确认抗体是否辨识到对的蛋白。
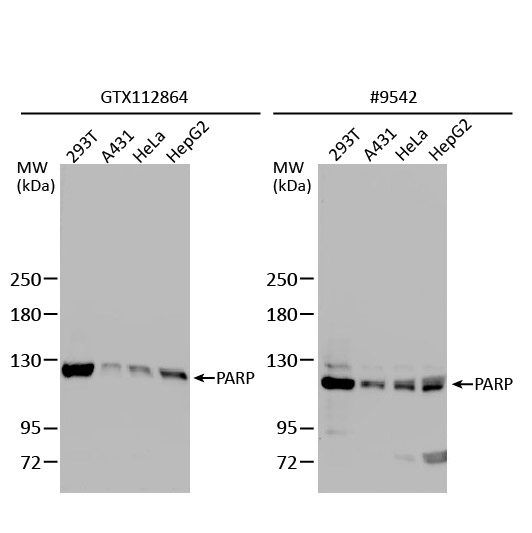
范例:DNA 修复、基因稳定性及细胞凋亡研究常会使用的 PARP 抗体 (GTX112864)
GTX112864 PARP 抗体通过免疫捕获及质谱分析验证(PMID:30377371),可进行 WB、ICC/IF、IHC-P、IP、ChIP assay 等多种应用,GeneTex的“PARP antibody [N2C1], Internal”通过了五项“抗体验证支柱”的所有测试,证实其具高质量,高性价比,与高特异性的产品优势。此外,它已在多篇文献中被引用,在不同物种上均能进行DNA修复,基因组稳定性和细胞凋亡方面的研究。

比较抗体验证 

生物特性与正交策略 

基因敲除敲弱验证 

免疫捕获及质谱分析 

目标蛋白过表达 
PARP antibody [N2C1], Internal (GTX112864)

四、生物特性与正交策略 
生物特性与正交策略是指利用目标蛋白质本身的生物特性作为基础进行定性与定量验证,或使用非抗体依赖方法(例如RNA表达量),检测基于抗体与生物特性或非抗体定量间的相关性,来验证抗体的专一性,包含:
1.使用加药测试;
2.以特殊条件处理细胞;
3.使用已知具有蛋白高低表达量的样本作为阳性与阴性对照组;
4.细胞定位;
5.组织专一性。
范例: 胰脏癌标记物 KRAS (GTX635362)
当 KRAS 基因突变,细胞分裂将不受控制,形成肿瘤。其中 KRAS G12D 和 G12V 突变占这些变化的 75% 成为研究的热点。在市面上有许多 KRAS G12D 的抗体,选择抗体时可优先挑选经过验证的,如有组织染色的结果更佳,像是GeneTex 的兔重组单抗 GTX635362。GTX635362 RAS(G12D 突变体)抗体通过使用多种细胞及正常与癌组织对照进行正交策略验证;在人胰腺癌细胞系和 PDAC 小鼠模型的 RAS G12D 突变蛋白表现出高度的敏感性和特异性。右图为蛋白印迹(WB)和左图为免疫组化(IHC-P)。

RAS (G12D Mutant) antibody [HL10] (GTX635362)

五、目标蛋白过表达 
利用在细胞中过表达目标蛋白,并收取细胞裂解液后进行 WB 分析,理论上蛋白量增多,抗体辨识后的信号也会增强,因此可确认抗体是否特异性辨认正确蛋白,过表达目标蛋白可作为抗体验证的正控制组。
范例: 表观遗传学重要蛋白 TET1抗体 (GTX124207)
TET1蛋白一般在细胞内的表达量较低, 蛋白生命周期也短, 往往不易检测。这时可进一步使用过表达 TET1 的细胞裂解液作对照(下图 B),可看到抗体辨识的条带会明显增强,确定抗体辨识具有特异性。

TET1 antibody [N3C1] (GTX124207)

五项验证要同时通过吗?
五项验证要同时通过是非常困难的,主要受限于技术与材料,大部分的抗体验证仅能通过 1~2 项的验证,能同时通过 5 项验证可说是少之又少,GeneTex的GTX107678 NFkB p65抗体就是少数的例子之一,该抗体通过 5 项验证方法,并且全面验证 WB、ICC/IF、IHC-P、IP、EMSA,是目前一个能同时通过 5 种验证的 NFkB p65 抗体。

基因敲除敲弱验证 

比较抗体验证 

生物特性与正交策略 

目标蛋白过表达 
注:【免疫捕获及质谱分析】验证数据请参考 Nat Methods 期刊(PMID:30377371)
GeneTex还有 GTX628887 EGFR 抗体和GTX112864、GTX112839 PARP 抗体抗体都是少数同时通过五种验证的例子。
EGFR antibody [GT133] (GTX628887)


挑选通过基因敲除敲弱、比较抗体、免疫捕获及质谱分析、生物特性与正交策略和蛋白过表达 5 大验证的抗体,有助于实验不走弯路,降低失败率,更快完成实验,早早回家将不再是梦想。
请洽原厂当地经销商 欣博盛生物科技有限公司 (全国):
全国服务热线:4006-800-892
深圳:0755-26755892 北京:010-88594029
上海:021-34613729 广州:020-87615159
邮箱: info@neobioscience.com
![]() |
GeneTex website : https://www.genetex.cn/