公司新闻/正文
511 人阅读发布时间:2021-12-16 15:32
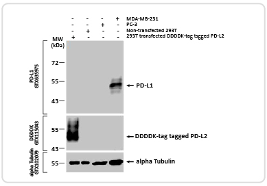
程序性死亡配体1(PD-L1) 在各种癌细胞上表达,并通过与效应 T 细胞上发现的程序性细胞死亡蛋白1(PD-1) 结合来触发免疫抑制信号,这种相互作用减少了免疫系统对恶性细胞的攻击,阻断PD-L1/PD-1与PD-L1或PD-1单克隆抗体的关联是针对多种癌症的免疫治疗的临床有效模式。
GeneTex与独立实验室合作验证其PD-L1重组兔单克隆抗体(GTX635975)的质量,下面的数据表明,与其他市售的PD-L1抗体相比,该抗体具有优异的信噪比。
热门研究产品








→重组抗体单页