GeneTex品牌商

14

手机商铺

qrcode
商家活跃:
产品热度:
  • NaN
  • 0
  • 0
  • 2
  • 2
文献支持
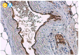
Flavivirus group antibody [D1-4G2-4-15 (4G2)]
¥5000
品牌商

GeneTex

入驻年限:14

  • 联系人:

    GeneTex

  • 所在地区:

    未知

  • 业务范围:

    试剂

  • 经营模式:

    生产厂商

在线沟通
推荐产品

PD-L1 antibody

品牌:GeneTex

¥1700 - 4000

咨询

Arginase 1 antibody

品牌:GeneTex

¥1700 - 4000

咨询

LC3B antibody

品牌:GeneTex

¥1700 - 4000

咨询

HIF1 alpha antibody

品牌:GeneTex

¥1700 - 4000

咨询

HMGB1 antibody

品牌:GeneTex

¥1700 - 4000

咨询
查看全部产品

公司新闻/正文

利用血浆中的细胞外囊泡作为乳腺癌治疗效果的预测工具

585 人阅读发布时间:2023-02-20 09:47

新闻图片1

细胞外囊泡 (extracellular vesicles (EVs)) 指的是由细胞膜包覆生成且带有生物分子的各式各样胞外构造,包括:外泌体 (exosomes)、微囊泡 (microvesicles)与凋亡小体(apoptotic bodies)。细胞外囊泡广泛存在于体液中,用于细胞与细胞之间的信息传递。这些特性使得细胞外囊泡相当适合做为疾病相关标记或是治疗用的指标。然而,如何取得足够纯度的特定囊泡种类以进行后续的定性,成为了基础科研与临床上的一大难题。

 

近来Alvarez et al.的研究中,发现使用颗粒纯化液相色谱法(particle purification liquid chromatography (PPLC))能从乳腺癌病人的血浆中有效地分离出细胞外囊泡(blood plasma-derived EVs (BEVs))。作者由乳腺癌术前新辅助化疗(Neoadjuvant chemotherapy (NAC))的效果反推发现,有疗效与无疗效的病人群体在血浆细胞外囊泡的成分有显着差异性。蛋白图谱分析结果显示,无疗效病人群体的血浆细胞外囊泡中有相对高表现量的特定蛋白质,包括: 血小板膜糖蛋白(GP1BA (CD42b))、血小板内皮细胞黏附分子-1 (PECAM-1 (CD31))、钙蛋白酶1 (CAPN1)、热休克蛋白1 (HSPB1 (HSP27))以及膜连蛋白A5 (ANXA5)。功能实验结果指出,尽管来自于两个病人群体的细胞外囊泡成分都能增加乳腺癌细胞株的代谢能力,但无疗效病人群体的增强效果较为显着。虽然详细分子机制尚待厘清,但Alvarez et al.的研究不只肯定了PPLC于细胞外囊泡研究中的应用,同时也证实了血浆细胞外囊泡分析用来评估乳腺癌术前新辅助化疗效果的潜力。

 

GeneTex为推动细胞外囊泡研究发展,提供了多样化且经充分验证的抗体试剂清单。欲了解相关产品,请参考以下重点商品、相关文宣品或造访我们的网站www.genetex.com以获取更多信息。

 

 

重点产品

 

新闻图片2

HSP27 antibody (GTX101145)

 

新闻图片3

TSG101 antibody [4A10] (GTX70255)

 

新闻图片4

Annexin V antibody (GTX103250)

 

新闻图片5

CD31 antibody (GTX130274)

 

新闻图片6

CD81 antibody [HL1667] (GTX637265)

 

新闻图片7

Calpain 1 antibody [N3C2], Internal (GTX102340) 

 

 
目录号 产品名 应用
GTX637265 CD81 antibody [HL1667] WB, ICC/IF
GTX101766 CD81 antibody WB, ICC/IF, IHC-P, FACS, Blocking
GTX130274 CD31 antibody WB, IHC-P, IHC-Fr
GTX132953 CD63 antibody WB, IHC-P
GTX135220 CD63 antibody ​WB, ICC/IF
GTX113202 CD42b antibody WB
GTX103250 Annexin V antibody WB, FACS
GTX101145 HSP27 antibody WB, ICC/IF, IHC-P, FACS, IP
GTX634459 HSP27 antibody [GT6310] WB, ICC/IF, IHC-P
GTX634421 HSP27 (phospho Ser82) antibody [GT357] WB, ICC/IF
GTX102340 Calpain 1 antibody [N3C2], Internal WB, ICC/IF, IHC-P, IP
GTX102350 Calpain 1 antibody WB, ICC/IF, IHC-P, FACS
GTX135296 CD9 antibody WB, ICC/IF, IHC-P
GTX637312 Apolipoprotein A1 antibody [HL1713] WB, ICC/IF, ELISA
GTX112692 Apolipoprotein A1 antibody WB, ICC/IF, IHC-P
GTX102419 Albumin antibody WB, ICC/IF, IHC-P, IHC-Fr, IHC
GTX101218 G6PD antibody [N3C3] WB, IHC-P, IHC-Fr
GTX129175 GLUT3 antibody WB, ICC/IF, IHC (Free Floating)
GTX119095 RAB11B antibody [N1C3] WB, ICC/IF, IHC-P, IHC-Fr

 查看相关内容
(1) 单页 - 外泌体和微泡标记
(2) 挂图 - 外泌体和微泡标记物
(3) 小册 - 肿瘤标记

 

延伸阅读

(1) 神奇的外泌体 癌细胞的长程飞弹?
 

 参考文献

  1. Cells. 2019 Jul 15;8(7):727. doi: 10.3390/cells8070727.

  2. Viruses. 2021 Nov 13;13(11):2272. doi: 10.3390/v13112272.

  3. Breast Cancer Res Treat. 2022 Nov;196(2):423-437. doi: 10.1007/s10549-022-06733-x.
     

 

更多详情请联系欣博盛生物科技

全国服务热线:4006-800-892

邮箱:market@neobioscience.com
深圳:0755-26755892
北京:010-88594029
上海:021-34613729
广州:020-87615159

 

 

 

上一篇

GeneTex 「5+1」 验证策略

下一篇

呼吸道合胞病毒研究

更多资讯

我的询价