公司新闻/正文
431 人阅读发布时间:2024-05-30 09:34

Cited Antibodies
![]() |
![]() |
![]() |
![]() |
alpha Tubulin antibody [GT114]
|
NDP52 antibody [GT422]
|
NRF2 antibody [HL1021]
|
RAS (G12D Mutant) antibody [HL10]
|
![]() |
![]() |
|
|
Protein Post-Translational Modifications
![]() |
![]() |
![]() |
![]() |
ERK1 (phospho Thr202/Tyr204) +
|
ERK1 (phospho Thr202/Tyr204)
|
JNK (phospho Thr183/Tyr185)
|
JNK (phospho Thr183/Tyr185)
|
![]() |
![]() |
![]() |
![]() |
HistoMAXTM IHC-validated Antibodies
![]() |
![]() |
![]() |
![]() |
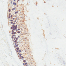
C-Peptide antibody [HMV363]
|
Insulin antibody [HMV308]
|
TIGIT antibody [HMV322]
|
CD32B antibody [HMV315]
|
|
|
G Protein-Coupled Receptors
![]() |
![]() |
![]() |
![]() |
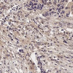
CXCR7 antibody [HL2189]
|
Rhodopsin antibody [HL2668]
|
RAI3 antibody [HL1864]
|
mGluR5 antibody [HL2543]
|
|
|
|
![]() |
Immunology
![]() |
![]() |
![]() |
![]() |
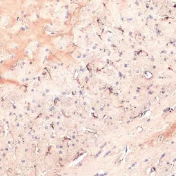
Iba1 antibody [HL22]
|
IL1 beta antibody [HL1421]
|
FCER1G antibody [HL1418]
|
CXCL16 antibody [GT516]
|
![]() |
![]() |
|
|
Stem Cell Research
![]() |
![]() |
![]() |
![]() |
SOX2 antibody [GT1876]
|
Nanog antibody
|
PAX6 antibody
|
p63 antibody
|
![]() |
![]() |
![]() |
活动说明