公司新闻/正文
174 人阅读发布时间:2024-09-04 10:28

GeneTex 正在将用于神经递质相关研究的新型重组兔单克隆抗体添加到其产品目录中。请参阅这些产品的完整列表,并访问www.genetex.com了解更多详情。
精选产品


MC1 Receptor antibody [HL1471] (GTX636945)

Dopamine Receptor D2 antibody [HL1478] (GTX636952)

AChE antibody [HL1102] (GTX636298)

FPRL1 antibody [HL2664] (GTX639328)

Somatostatin antibody [HL1101]M (GTX636297)

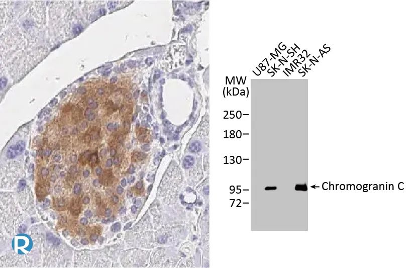
Chromogranin C antibody [HL2992] (GTX640402)
更多详情请联系欣博盛生物科技
全国服务热线:4006-800-892
邮箱:market@neobioscience.com
Wechat: 13129540117
深圳:0755-26755892
北京:010-88594029
上海:021-34613729
广州:020-87615159