公司新闻/正文
2392 人阅读发布时间:2020-04-06 10:12
|
肥胖的普及说明了世界面临着全球营养危机,然而,关于最佳饮食重点和应对这些挑战的政策方法仍存在大量困惑和争议,最近的《自然食品》期刊回顾了应对肥胖和第二型糖尿病在营养证据、新兴领域以及相应政策的发展,包括复杂地长期维持体重和代谢健康的饮食健康路径和对减肥与代谢健康的流行饮食,这需要同时注重增加保护性食品(例如: 加工最少、富含植物化学物质的食品)和减少有害因素(例如: 精致淀粉、添加糖和加工肉类)(1)。到底肥胖的成因是什么?对健康又有什么影响呢? |

|
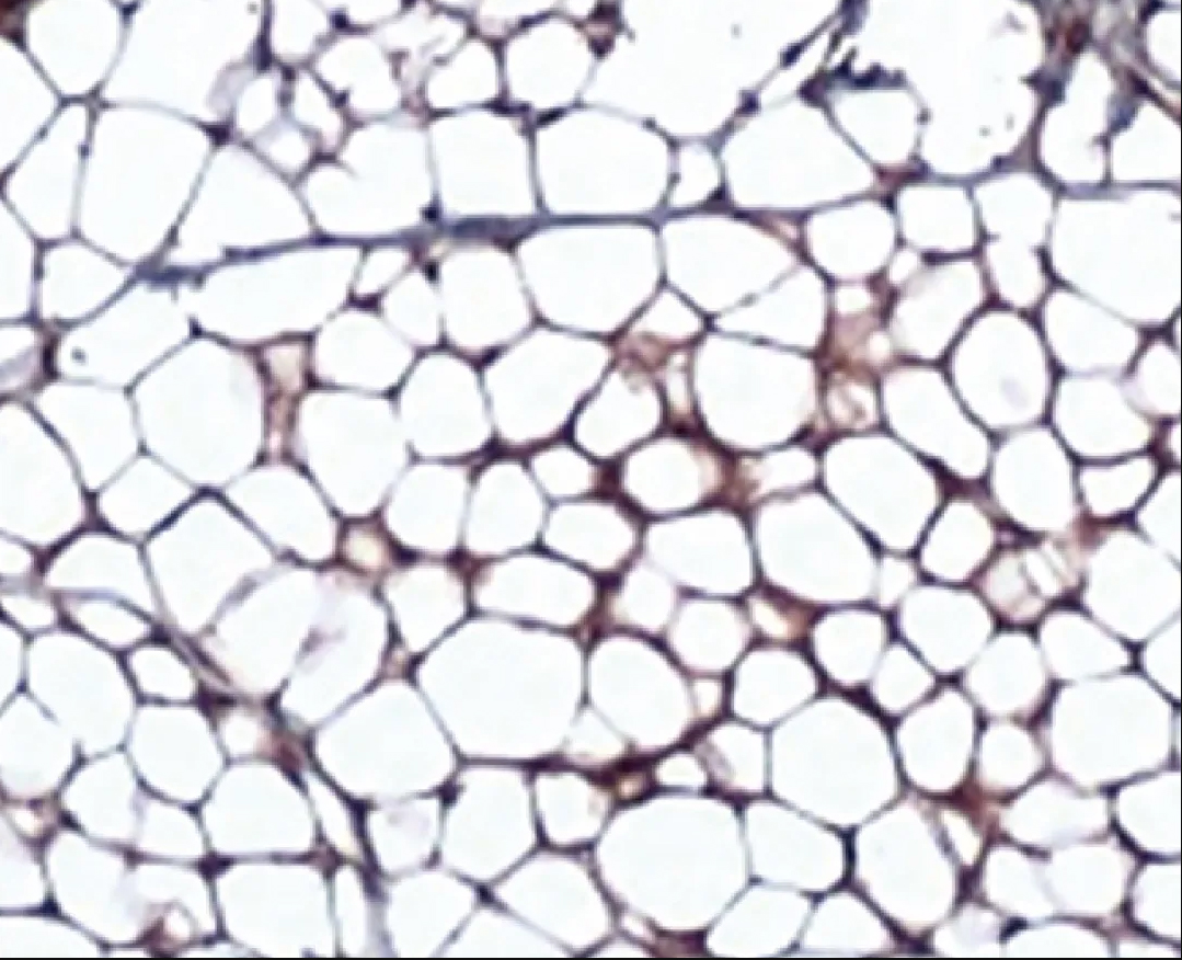
肥胖症的特征是脂肪中的脂质累积增加,导致肥胖组织肥大、脂解作用受损以及其他组织中异位脂肪沉积,并与促炎性表型相关的脂肪功能紊乱有关,脂肪组织是一种生物热量储存库,当营养过剩时,脂肪膨胀以储存脂质,并因应能量不足而释放脂质(脂肪变小)。脂肪细胞(adipocyte)为脂肪组织的主要细胞类型,并负责将多余的热量以甘油三酸脂(triglyceride)的形式储存在它们的细胞脂质滴中,防止异位脂质沉积和其他细胞的脂毒性,脂滴里的甘油三酸脂越多,脂肪细胞体积越大,之后就会变成肥胖了。脂肪细胞以多种亚型存在,以颜色区分为白色至棕色,白色脂肪细胞构成典型的脂肪细胞,代表内脏和皮下脂肪储存库中的大多数细胞,这些储库因肥胖而扩展,在能量稳态控制中起主要作用,不仅充当能量储存和利用的储存库,而且还感知能量需求并分泌旁泌因子来调节其他代谢组织,例如: 在高能量状态下,脂肪细胞分泌瘦素(leptin),从而集中减少食物摄入并增加能量消耗。棕色脂肪细胞包含较小的棕色脂防储库,在大多数哺乳动物物种地发热中起作用 (2)。 |
![]() |
| 图一: 肥胖中的脂肪细胞 |

|
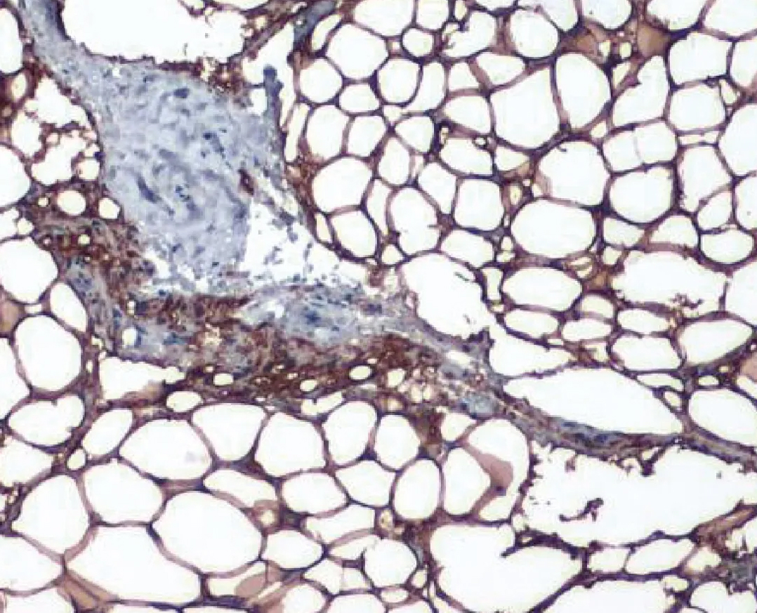
脂肪细胞也是高度活跃的分泌细胞,产生的蛋白质和激素的功能远超过新陈代谢。在长期的正能量平衡条件下,脂肪细胞会扩大细胞大小和数量,以补偿增加脂质储存的需求,当超过最大的脂肪组织储库----皮下脂肪组织的储存能力时,进一步的热量过载会导致异位组织(肝脏、骨骼肌、和心脏)以及内脏储库中的脂肪积聚,异位组织中过多的脂质蓄积会导致局部炎症 (3),脂肪组织炎症的诱因可能来自肠道来源的物质、饮食成分和代谢产物,另外,肥胖中脂肪组织的迅速膨胀可能会引起触发炎症反应的内在信号,这些信号包括由细胞与细胞外基质之间相互作用所引起的脂肪细胞死亡或缺氧(图二)。 |
![]() |
| 图二: 通过脂肪细胞肥大引起的不健康扩张,促进了肥胖相关的代谢并发症 |

|
全世界的肥胖病流行已导致新陈代谢疾病的急剧增加,包括第二型糖尿病、慢性酒精中毒、非酒精性脂肪肝、脂肪性肝炎、哮喘、癌症、心血管疾病和神经退行性疾病,这些疾病与低度慢性炎症的产生有关。第二型糖尿病是由肥胖引起的白色脂肪组织、肝脏、骨骼肌的胰岛素抵抗,以及胰岛β细胞的胰岛素分泌异常所引起(图三),胰岛素抵抗被定义为无法对正常浓度的胰岛素产生正常的生理反应,导致储存的甘油三酸脂水解,进而提高血浆内自由脂肪酸的含量,这种作用主要表现为减少肌肉细胞吸收葡萄糖,降低肝细胞储存葡萄糖,最终提高血糖含量(图三),了解促进肥胖相关疾病的分子机制,将加速针对这些经常造成破坏性疾病的新治疗方法的开发。 |
![]() |
| 图三: 第二型糖尿病的成因 |
|
GeneTex为肥胖研究提供精选抗体,包括脂肪生成、脂肪生物学和胰岛素抵抗信号传导等,这些抗体经过各种应用验证,以帮助您在肥胖代谢作进一步的研究。 |
热门研究产品




Adiponectin antibody (GTX112777) 


Leptin antibody (GTX109204)


Perilipin 1 antibody (GTX130139)


Fatty Acid Synthase antibody [N1], N-term (GTX109833)


|
Reference |