公司新闻/正文
628 人阅读发布时间:2024-02-22 13:40
Extracellular vesicles (EVs)泛指各式各样从细胞释出且带有生物分子的膜状构造,包括: exosomes、microvesicles与apoptotic bodies等。
细胞外囊泡是50纳米至2微米的囊泡,从许多不同类型的细胞表面释放到不同的体液中,包括血浆、乳汁、唾液、汗液、泪液、精液和尿液。外泌体(50-100纳米)是一种同质的细胞外囊泡群,当多囊泡内体(multivescular endosomes)在高度调节的过程中与质膜融合时,从细胞中释放出来,随后释出它们的内容物;而微泡是直径达2微米且更加异质的细胞外囊泡群,其通过细胞膜向外出芽和囊泡脱落形成,该过程涉及钙依赖性信号传导和酶活性;凋亡(Apoptosis)的细胞则释放直径为1-5微米的细胞外囊泡,被称为凋亡小体。其中外泌体携带许多细胞的重要信息,如脂筏(Lipid rafts)、蛋白质,以及一些遗传物质(核酸),也是近年来的热门研究主题,被用来进行细胞与细胞之间的沟通。取得方便且具有特定生物意义的特性,使得EVs成为了理想的疾病相关bio-marker与治疗诊断参照物 (ref 1)。


胰腺导管腺癌(PDAC)是癌症死亡的主要原因之一,许多病患确诊时已经是癌症晚期,只有约20%的患者可藉由手术切除等方式治愈。然而PDAC的细胞异质性、释出具有bio-marker的EV总量太少等等因素,也让EV分析在PDAC诊断评估的应用上迟迟没有进展(ref 2)。
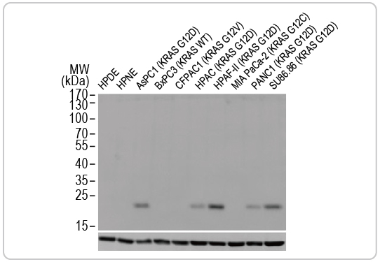
Ferguson et al.利用sEVA的特性,巧妙避开了大总量分析法对于仅有少量bio-marker阳性EV侦测上的弱势,并随之提出了sEVA检测早期PDAC的强大潜力(ref 2)。作者首先检查了11种PDAC相关模型细胞株,以评估潜在生物标志物的存在,其中约有40%的EV对母系中表达的突变KRAS或p53蛋白呈阳性。作者同时也利用盲测的方式针对已确诊不同程度的16位PDAC患者进行方法确效。实验结果显示在初期PDAC患者的样本中,只有不到0.1%的EV呈现突变KRAS或p53阳性反应,这对于EV用于评估诊断可说是相当大的挑战。令人印象深刻的是,Ferguson et al.所建立的sEVA分析平台成功地可视化了其中15名患者的突变bio-marker阳性EV,并且证实了sEVA分析结果对于肿瘤体积的高敏感度(~0.1立方公分)远优于当前其他分析技术(ref 2)。虽然在bio-marker与相关抗体的挑选上,可能带来一些不确定性,但Ferguson et al.的研究确实发掘了sEVA应用于早期癌症检测的潜力。
GeneTex为癌症生物学研究提供了大量经过验证的抗体与试剂,其中包括了促癌蛋白特定点突变的重组单克隆抗体等,这类能满足研究者制定的严格特异性标准的产品等。Ferguson et al.于上述的研究中,正是使用了GeneTex的RAS (G12D Mutant) antibody [HL10] (GTX635362)做为PDAC的bio-marker。欲了解相关产品,请参考以下重点商品、相关文宣品或造访我们的网站www.genetex.com以获取更多信息。




















| 目录号 | 产品名 | 应用 | |
| GTX637264 | CD81 antibody [HL1666] | WB, ICC/IF | ![]() |
| GTX116041 | H-Ras antibody | WB, ICC/IF, IHC-P, IP | ![]() ![]() ![]() ![]() |
| GTX637440 | HSC70 antibody [HL1788] | WB, IHC-P | ![]() |
| GTX108598 | N-RAS antibody | WB | ![]() |
| GTX132403 | RAS (A59T Mutant) antibody | WB | |
| GTX636434 | RAS (G12A mutant) antibody [HL1153] | WB | ![]() |
| GTX635362 | RAS (G12D Mutant) antibody [HL10] | WB, ICC/IF, IHC-P | ![]() |
| GTX635623 | RAS (G12V Mutant) antibody [HL169] | WB, IHC-P | ![]() |
| GTX132412 | RAS (G13D Mutant) antibody | WB | |
| GTX132416 | RAS (K117N Mutant) antibody | WB | |
| GTX135497 | RAS (Q61R Mutant) antibody | WB, ICC/IF | ![]() |
| GTX132480 | RAS antibody | WB, IHC-P | ![]() ![]() |
| GTX105575 | RRAS antibody [N1C3] | WB, IHC-P | |
| GTX635396 | TSG101 antibody [4A10-RB] | WB, ICC/IF | ![]() |
Cells. 2019 Jul 15;8(7):727. doi: 10.3390/cells8070727.
Sci Adv. 2022 Apr 22;8(16):eabm3453. doi: 10.1126/sciadv.abm3453.
全国服务热线:4006-800-892
邮箱:market@neobioscience.com