公司新闻/正文
528 人阅读发布时间:2024-02-27 16:52

| 目录号 | 产品名 | 反应种属 | 应用 | |
| GTX638830 | CCR4 antibody [HL2481] | Hu, Ms, Rat | WB, IHC-P | |
| GTX638633 | Collagen I + Collagen II + Collagen III antibody [HL2048 + HL1907] | Hu, Ms, Rat | WB, IHC-P | |
| GTX638872 | NEK2 antibody [HL2511] | Hu | WB, IHC-P | |
| GTX638128 | POLE antibody [HL2150] | Hu, Ms | WB, IHC-P | |
| GTX638347 | SYNGAP1 antibody [HL2292] | Ms, Rat | WB, ICC/IF | |
| GTX638856 | Tau (phospho Thr181) antibody [HL2498] | Hu, Ms | WB, IHC-P, ELISA, Sandwich ELISA |

IHC-Wm staining of PFA-fixed fertilization zebrafish embryo using Lcp1 antibody [HL2501] (GTX638859).

ICC/IF analysis of 4% PFA-fixed U937 cells using uPAR antibody [HL2169] (GTX638173).

Various cell line lysates probed with Rb antibody [HL2465] (GTX638814) by western blot.

ICC/IF staining of 4% PFA-fixed K562 cells using Hemoglobin epsilon antibody [HL2457] (GTX638775).

IHC-P analysis of mouse tissues using Calpain 5 antibody [HL2432] (GTX638748).

ICC/IF staining of 4% PFA-fixed HeLa cells using RanBP1 antibody [HL2358] (GTX638564) shows cytoplasmic staining.

Western blot of different cell line lysates probed with Transferrin antibody [HL2429] (GTX638745) reveals a correlation between protein and mRNA expression.

Mock (-) and shRNA-transfected (+) HepG2 cell lysates probed with CD73 antibody [HL2493] (GTX638851) by western blot.

ICC/IF staining of 4% PFA-fixed HeLa cells using BCKDHA antibody [HL2405] (GTX638622) shows mitochondrial staining.

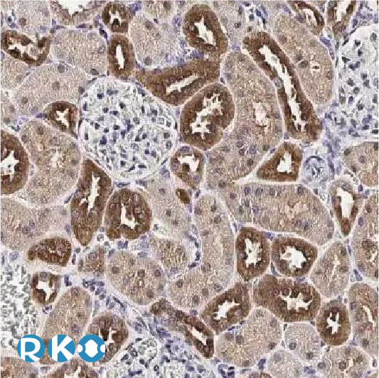
IHC-P analysis of rat kidney tissue using MC1 Receptor antibody [HL1471] (GTX636945).